
EACR member Dr Monika Golinska is a biochemist and cancer researcher currently leading a Marie Curie Sklodowska-funded project at the Medical University of Łódź and in collaboration with Cancer Research UK. The project investigates the link between endometriosis and ovarian cancer. In this article Monika shares her journey to get to this project and how spatial biology is facilitating her research goals.
A journey through science: influences and career path
My career has been shaped by significant moments and diverse research environments. I took a hiatus from research to work as a business intelligence analyst and program manager in the UK’s National Health Service, but I missed the research element in the role— the ability to ask questions and find ways to best approach them. Mentorship from Professor Bohndiek, a world expert in photoacoustic imaging, was pivotal in helping reestablish my research career.
I was particularly driven by a long-standing desire to work on endometriosis and women’s health, recognizing the urgent need to address these often overlooked and under-researched topics. Securing funding to lead a project marked a major milestone, allowing me to focus on the intricacies of endometriosis.
Why endometriosis?
Endometriosis is a particularly intriguing disease. It is a chronic medical condition where tissue from the lining of the uterus grows outside its usual location. This abnormal growth can occur on the ovaries, fallopian tubes, outer surface of the uterus, and other organs within the pelvic cavity. In rare cases, it can spread beyond these areas. Despite being benign, it shares some characteristics with cancer and remains significantly understudied.
Women often face delayed diagnoses, enduring years of numerous family doctor visits and being subjected to multiple tests, all without receiving straightforward answers. Regrettably, this delay often leads to misdiagnosis and inadequate treatment, with symptoms not taken seriously enough.
Women with endometriosis commonly experience severe pelvic pain, particularly during menstruation as well as chronic lower back and abdominal pain, and excessive bleeding. Other symptoms include fatigue, headaches, diarrhea, constipation, bloating, and nausea. The combination of these symptoms can significantly impact a woman’s quality of life, affecting her physical, emotional, and social well-being. My principal drive is to transform this patient pathway, ensuring more prompt and precise diagnoses and enhanced treatment options are available.
The role of spatial biology in understanding endometriosis
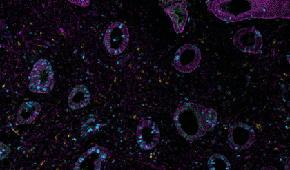
Spatial biology is an innovative field that focuses on the spatial organization and interactions of biological molecules within their native tissue environments. Mapping tissue architecture is important for understanding complex diseases like endometriosis, where the interaction between cells and their microenvironment plays a significant role in disease progression.
The architecture of endometriosis lesions remains largely unknown and understudied. By preserving the spatial context, I can investigate how these lesions are composed and gain insights into the processes driving the disease progression. I can also explore specific immune responses or predisposing factors in certain women that lead to lesion formation.
I chose the COMET™ platform for my spatial studies. It is a fully-automated, high-throughput, hyperplex platform for analysis of Formalin-Fixed Paraffin-Embedded (FFPE) and frozen tissues. I am able to work with off-the-shelf, non-conjugated primary antibodies that are already in the lab. With the easy addition of markers, it is an ideal tool for achieving my research objectives.
Looking ahead, I am excited to explore both proteins and RNA within the context of endometriosis. This approach could offer deeper insights into the disease. Additionally, I am interested in examining pain markers in relation to vascular properties or immune infiltration.
The future of spatial biology
In the coming decades, I envision spatial biology becoming integral to clinical settings, particularly in histopathology departments. Instead of processing multiple samples, a single sample could be analyzed comprehensively, gathering all necessary information and correlating spatial data for a more detailed understanding. I believe that spatial biology is an exciting field that combines hands-on wet lab experiments with advanced dry lab data analysis. This multidisciplinary approach offers a dynamic and fulfilling career path.
About the author:
Dr Monika Golinska
Prof Fendler’s lab, Medical University of Łódź, Poland
EACR member Dr Monika Golinska is a biochemist and cancer researcher passionate about exploring the complexities of endometriosis and endometrium-related diseases. Currently based at Prof Fendler’s lab, a leading biostatistics center in Poland, she leads a Marie Curie Sklodowska-funded project that investigates the link between endometriosis and ovarian cancer. This groundbreaking project benefits from a collaborative effort with Cancer Research UK in Cambridge.





